Top

자연치아의 가치

한 번 깍은 치아는 되돌릴 수 없습니다.

심도치과는 치아를 지키기 위해 더 깊이 분석합니다.

심도치과는 자연치아를 지키기 위해 더 깊이 분석합니다 심도치과는 자연치아를 지키기 위해 더 깊이 분석합니다

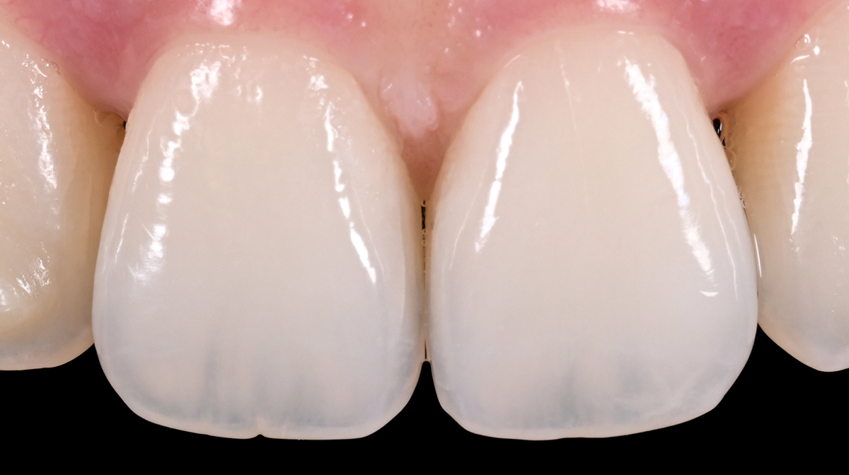
치아의 색과 내부 구조는 자연의 설계가
얼마나 정교한지 보여줍니다.

치아 색, 내부 구조 자연의 설계 정교
치아 색, 내부 구조 자연의 설계 정교
치아 색, 내부 구조 자연의 설계 정교

심도치과는 자연의 원리를 따라, 자연이 만들어낸 신비로움을
가능한 한 가깝게 재현하기 위해 노력합니다.

Form follows Function.

형태는 기능을 따릅니다. 자연치의 형태에는 모두 이유가 있습니다.

자연치아 | 자연치의 형태에는 모두 이유가 있습니다.

사람마다 얼굴이 다르듯,
같은 치아라도 사람마다 형태가 모두 다릅니다.

타고난 치아의 구조,
그리고 씹는 습관과 치아의 배열에 따라
각자만의 모양으로 마모되기 때문입니다.

하지만 그 안에는
‘기능을 위해 꼭 필요한 공통된 형태’가 존재합니다

이 기능적인 형태를 이해하고,
환자마다 다른 치아의 구조를
자연스럽게 복원하기 위한 노력이 필요합니다.

자연치아 형태 기능

심도치과는 단순한 형태 복원을 넘어,
‘기능적 재활(Rehabilitation)’을 목표로 합니다.

씹는 패턴을 고려하고, 충돌을 최소화하며, 효율적으로 힘이 전달되도록
교두(cusp), 융선(ridge), 와(fossa), 구(groove)와 같은 해부학적 구조들이
본래의 위치에서 자연스럽게 기능하도록 정밀하게 회복합니다.

이를 통해 조화로운 힘의 전달과 부드러운 저작이 가능하도록 설계하고,
자연치아의 편안하고 안정된 기능을 되찾도록 합니다.

자연치아 편안하고 안정된 기능 | 환자 개개인에게 꼭 맞는 기능적 회복을 제공
자연치아 편안하고 안정된 기능 | 환자 개개인에게 꼭 맞는 기능적 회복을 제공
자연치아 편안하고 안정된 기능 | 환자 개개인에게 꼭 맞는 기능적 회복을 제공
자연치아 편안하고 안정된 기능 | 환자 개개인에게 꼭 맞는 기능적 회복을 제공
자연치아 편안하고 안정된 기능 | 환자 개개인에게 꼭 맞는 기능적 회복을 제공
자연치아 편안하고 안정된 기능 | 환자 개개인에게 꼭 맞는 기능적 회복을 제공
자연치아 편안하고 안정된 기능 | 환자 개개인에게 꼭 맞는 기능적 회복을 제공
자연치아 편안하고 안정된 기능 | 환자 개개인에게 꼭 맞는 기능적 회복을 제공
자연치아 편안하고 안정된 기능 | 환자 개개인에게 꼭 맞는 기능적 회복을 제공
자연치아 편안하고 안정된 기능 | 환자 개개인에게 꼭 맞는 기능적 회복을 제공
자연치아 편안하고 안정된 기능 | 환자 개개인에게 꼭 맞는 기능적 회복을 제공

심도치과는 정밀한 자연치의 구조를 복원하기 위해 깊이 연구하고, 철저히 분석합니다.
이를 통해 단순한 수복을 넘어, 환자 개개인에게 꼭 맞는 기능적 회복을 제공합니다.