임플란트 치료
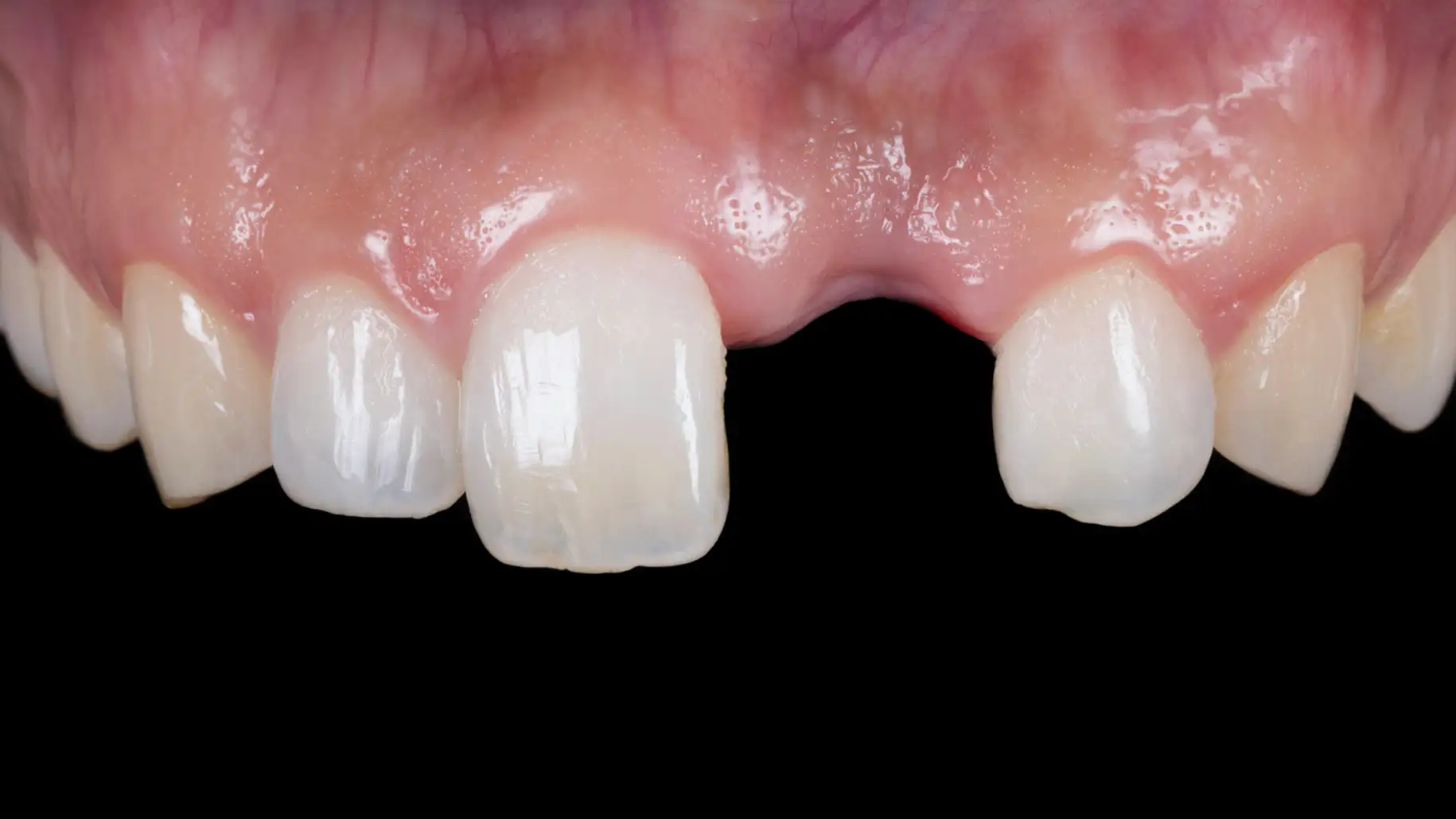
앞니 임플란트
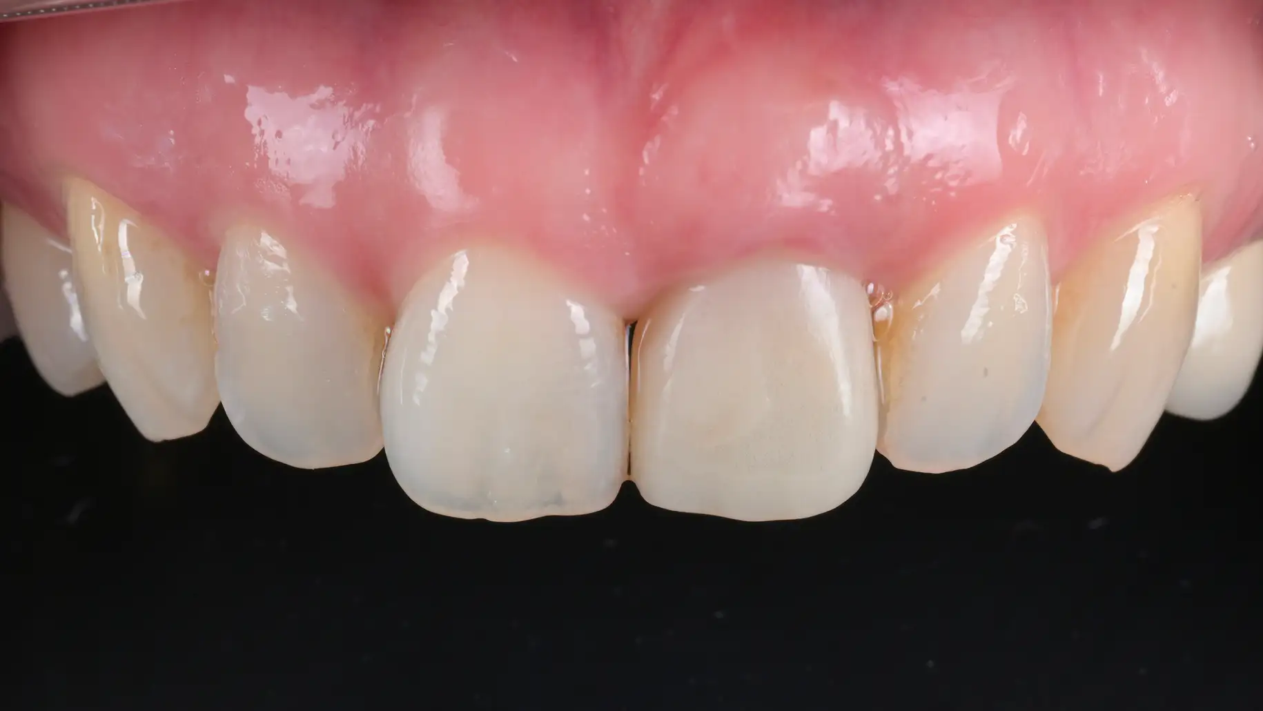
앞니를 잃은 상실감이 잊 힐 수 있도록


개인에 따라 통증, 출혈 등 부작용이 발생할 수 있으며 치료 결과는 차이가 있을 수 있습니다. 본 사진은 보정 없는 실제 사례로, 동일 조건에서 촬영되었습니다.
참고문헌 : Agustín‑Panadero, R. et al. Int J Periodont Restor Dent. 2025. Zucchelli, G. et al. Mucogingival Esthetic Surgery Around Implants. Milano, Italy: Quintessence Publishing; 2022.


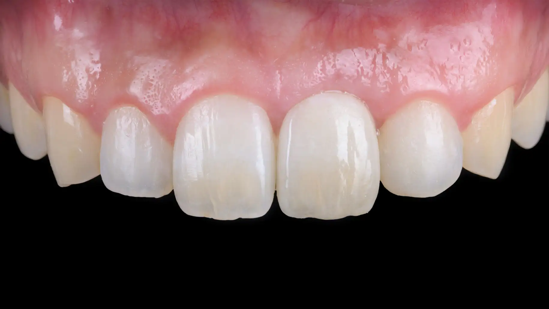
개인에 따라 통증, 출혈 등 부작용이 발생할 수 있으며 치료 결과는 차이가 있을 수 있습니다. 본 사진은 보정 없는 실제 사례로, 동일 조건에서 촬영되었습니다.
01
02
03
더이상 걱정하지 마십시오.
그동안 거울을 볼 때마다 느꼈던 속상함, 남몰래 힘들었던 고민을 이제 내려놓으셔도 됩니다.


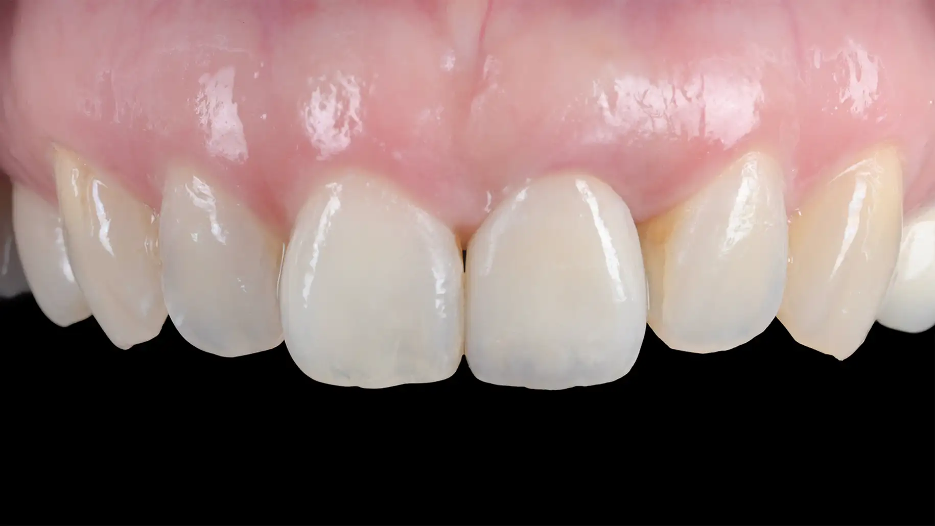
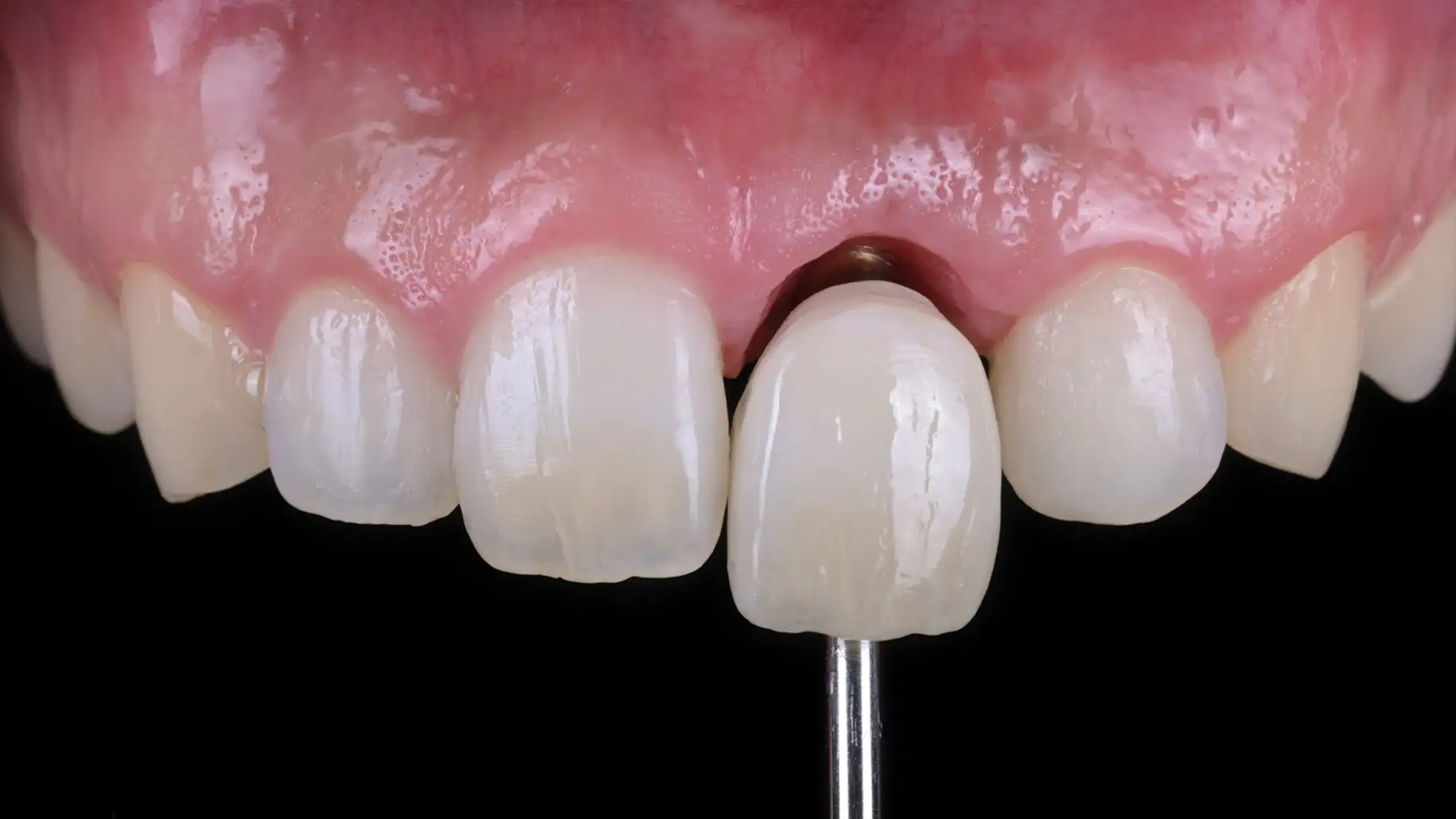
개인에 따라 통증, 출혈 등 부작용이 발생할 수 있으며 치료 결과는 차이가 있을 수 있습니다. 본 사진은 보정 없는 실제 사례로, 동일 조건에서 촬영되었습니다.