심미 치료
L'arte è una imitazione della natura
예술은 자연의 모방이다.







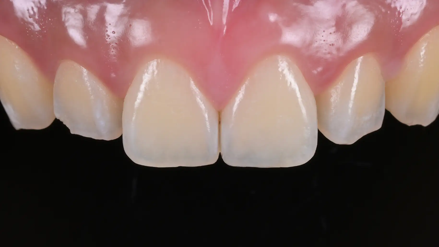
치료 결과는 개인에 따라 다를 수 있으며, 시술 후 일시적인 시린 증상이나 수복물의 마모 및 변색이 나타날 수 있습니다. 본 사진은 보정 없는 실제 사례로, 동일 조건에서 촬영되었습니다. (촬영일: 2023. 06. 14.)



치료 결과는 개인에 따라 다를 수 있으며, 시술 후 일시적인 시린 증상이나 수복물의 마모 및 변색이 나타날 수 있습니다. 본 사진은 보정 없는 실제 사례로, 동일 조건에서 촬영되었습니다. (촬영일: 2023. 10. 17.)


개인에 따라 통증, 출혈 등 부작용이 발생할 수 있으며 치료 결과는 차이가 있을 수 있습니다. 본 사진은 보정 없는 실제 사례로, 동일 조건에서 촬영되었습니다. (촬영일: 2023. 10. 17.)


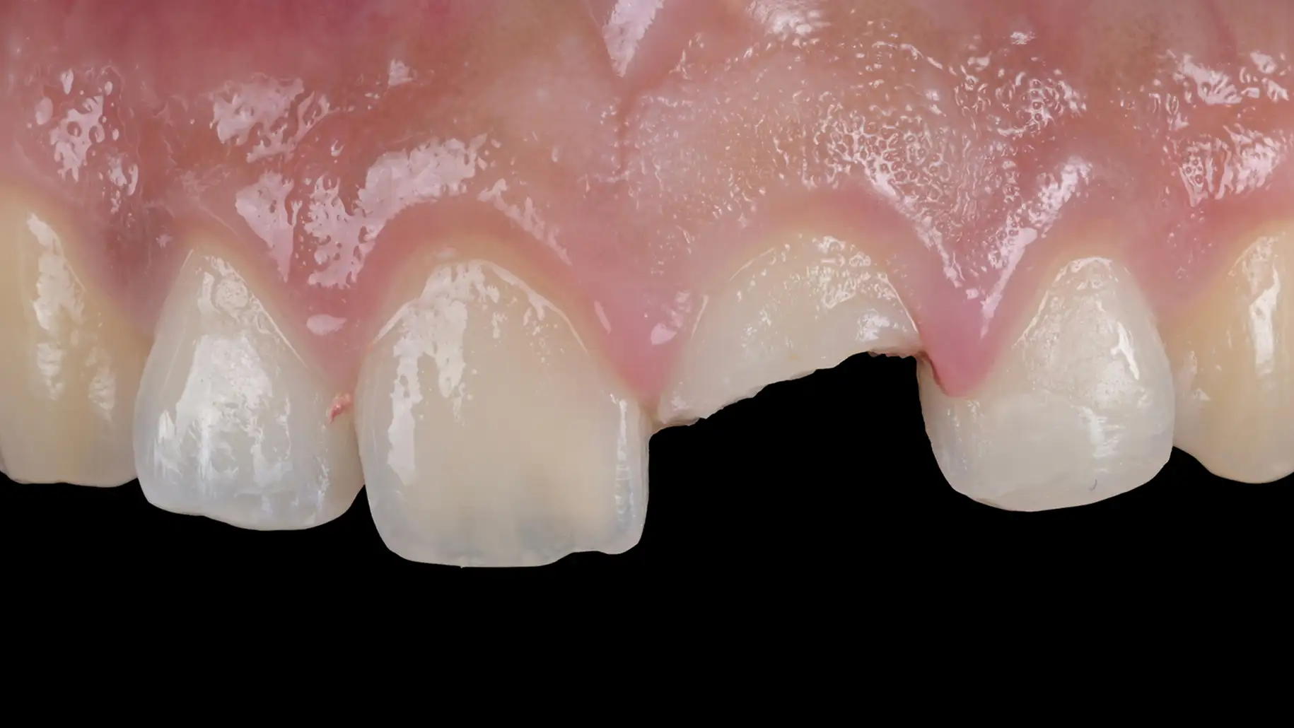
case 01



치료 결과는 개인에 따라 다를 수 있으며, 시술 후 일시적인 시린 증상이나 수복물의 마모 및 변색이 나타날 수 있습니다. 본 사진은 보정 없는 실제 사례로, 동일 조건에서 촬영되었습니다. (촬영일: 2025. 5. 10.)
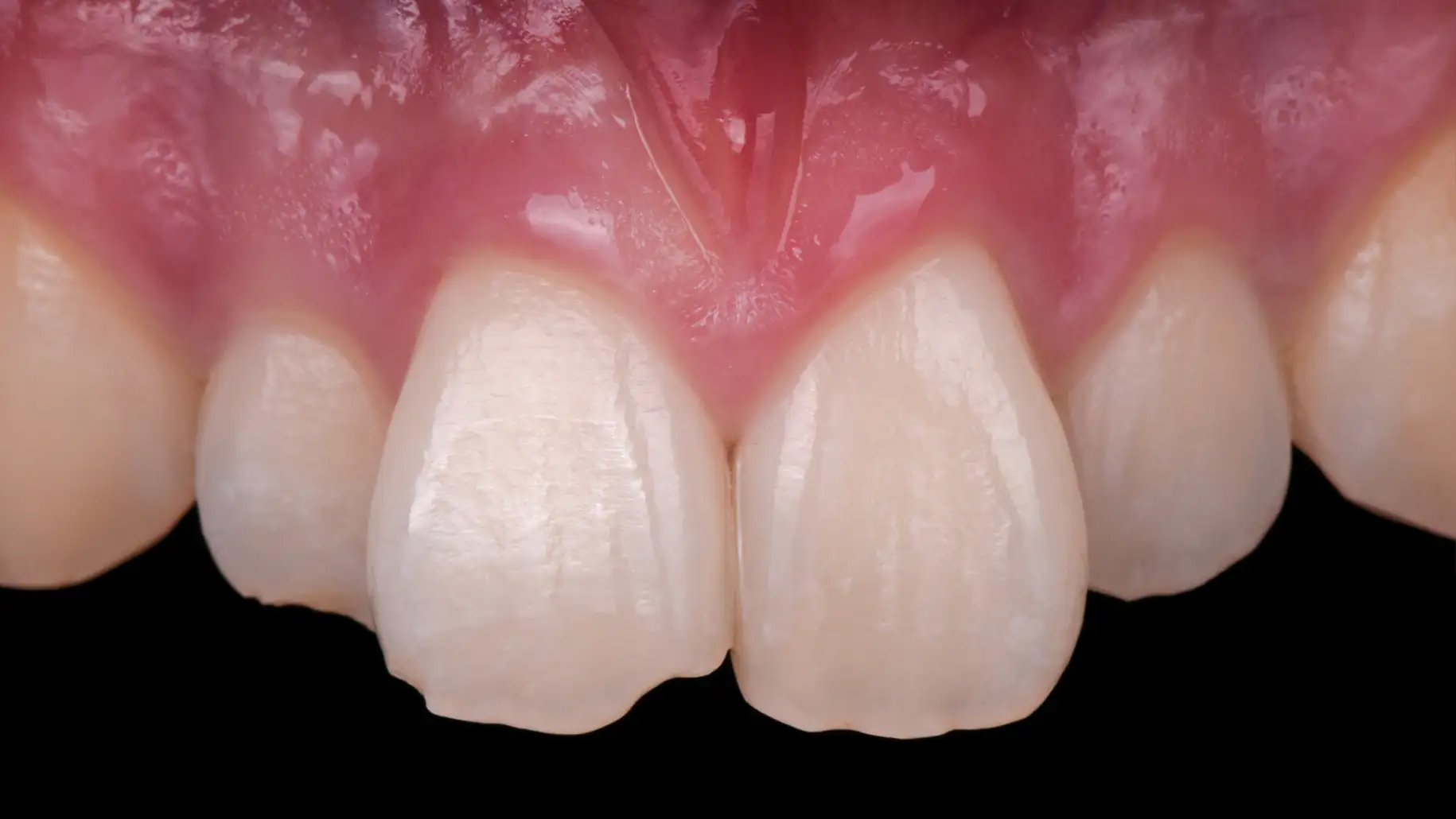
case 02


치료 결과는 개인에 따라 다를 수 있으며, 시술 후 일시적인 시린 증상이나 수복물의 마모 및 변색이 나타날 수 있습니다. 본 사진은 보정 없는 실제 사례로, 동일 조건에서 촬영되었습니다. (촬영일: 2023. 7. 10.)



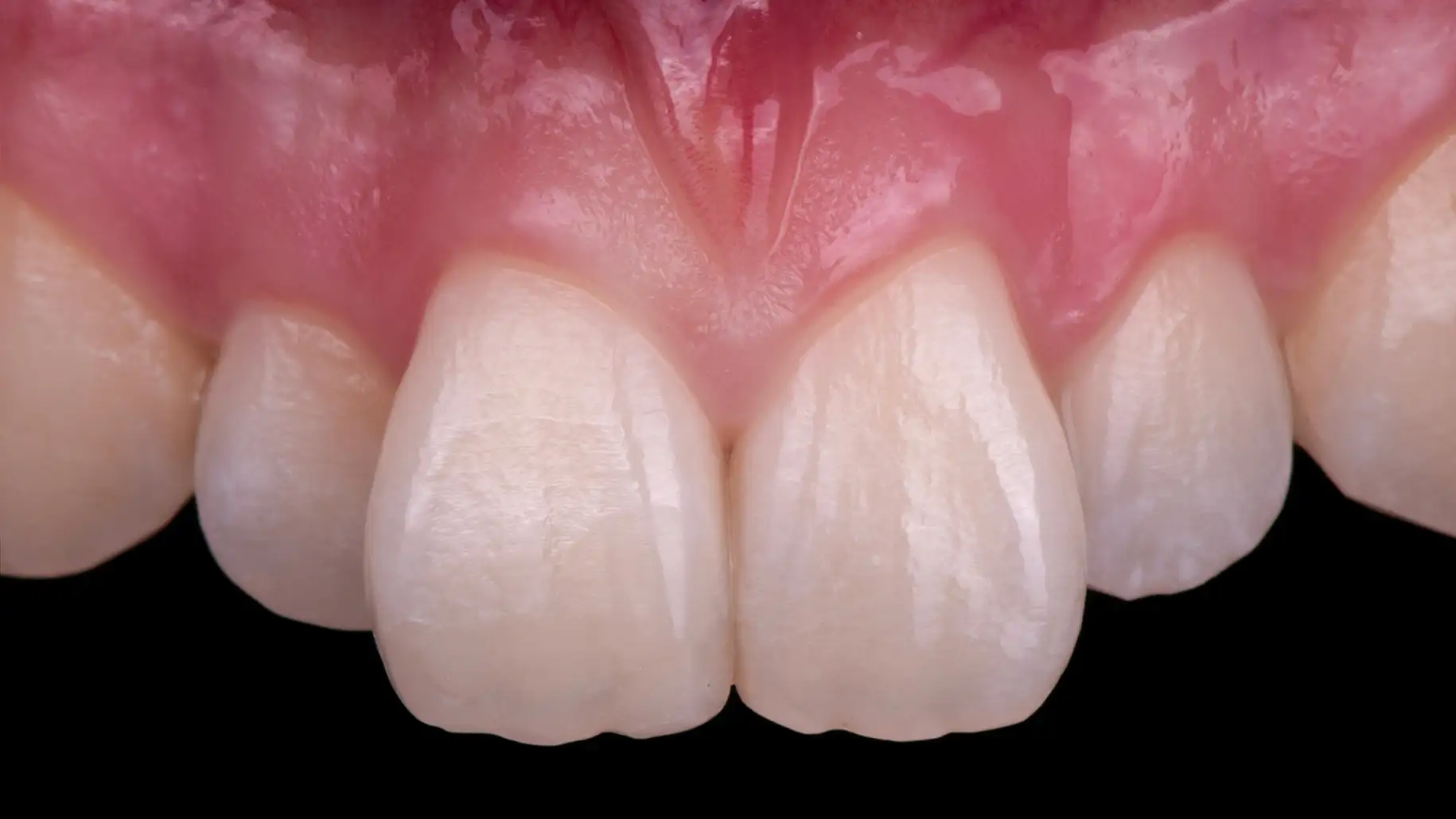
개인의 구강 상태에 따라 치료 결과는 차이가 있을 수 있으며, 보철물의 파절이나 탈락 등의 부작용이 발생할 수 있습니다. 본 사진은 보정 없는 실제 사례로, 동일 조건에서 촬영되었습니다. (촬영일: 전 2025. 7. 14. / 후 2025. 8. 16.)


개인의 구강 상태에 따라 치료 결과는 차이가 있을 수 있으며, 보철물의 파절이나 탈락 등의 부작용이 발생할 수 있습니다. 본 사진은 보정 없는 실제 사례로, 동일 조건에서 촬영되었습니다. (촬영일: 전 2025. 7. 14. / 후 2025. 8. 16.)
개인의 구강 상태에 따라 치료 결과는 차이가 있을 수 있으며, 보철물의 파절이나 탈락 등의 부작용이 발생할 수 있습니다. 본 사진은 보정 없는 실제 사례로, 동일 조건에서 촬영되었습니다. (촬영일: 전 2025. 7. 14. / 후 2025. 8. 16.)
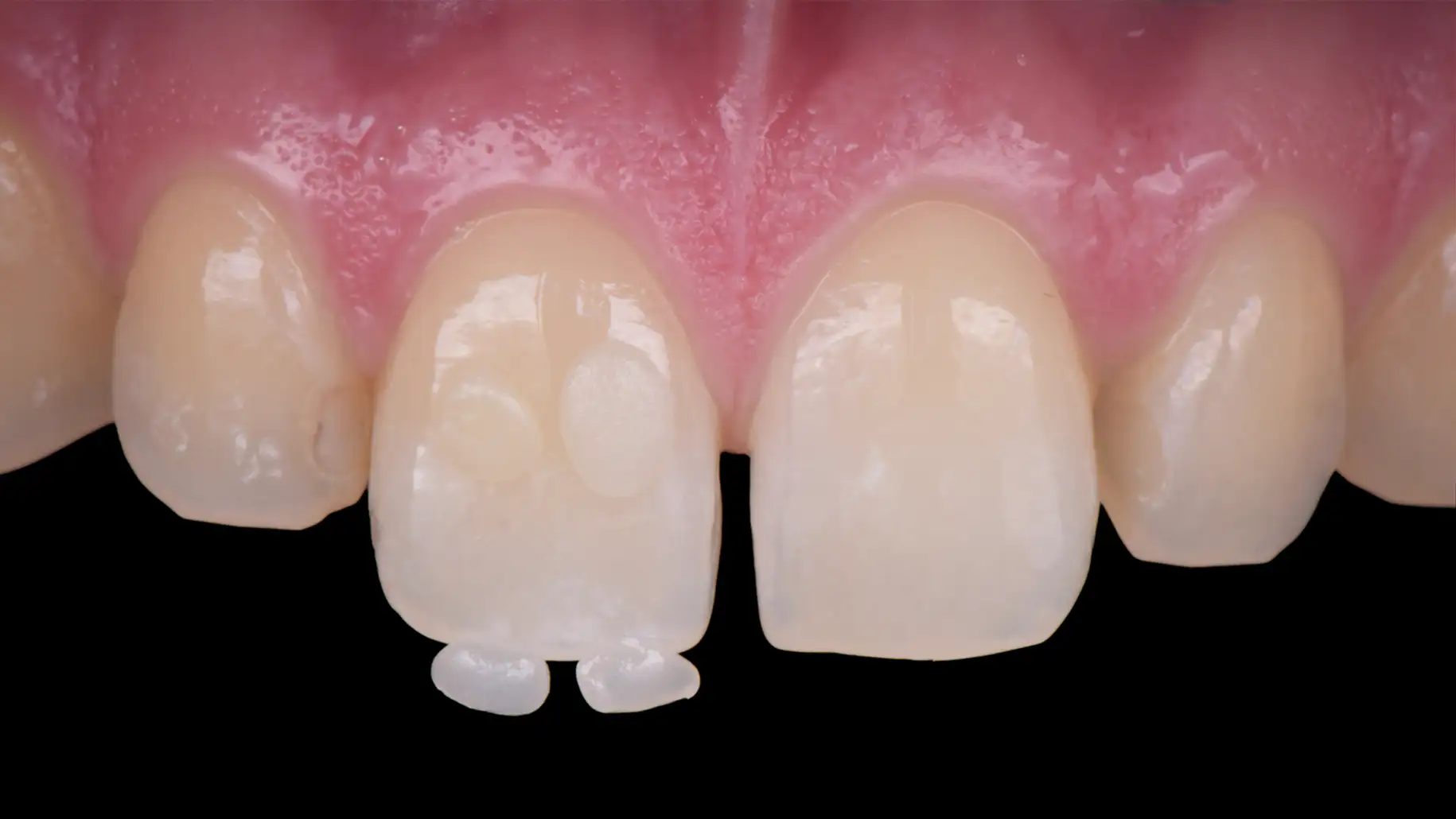
임시치아는 최종 보철물 장착 전 단계로, 사용 중 파손, 탈락, 치아 시림 등이 발생할 수 있습니다. 환자의 구강 상태에 따라 임시치아 제작 방식 및 결과는 차이가 있을 수 있습니다. (촬영일: 2024. 08. 07.)