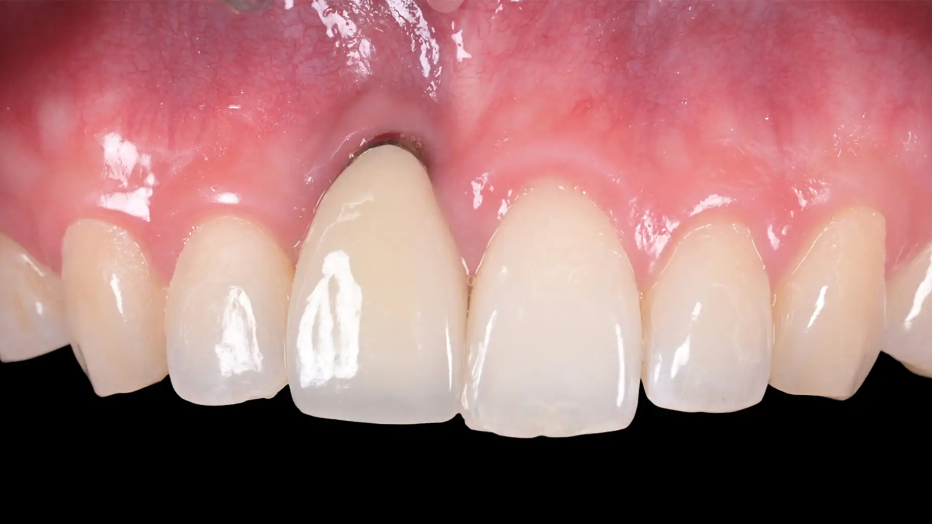
앞니 재치료
앞니 임플란트
임플란트 주변의 잇몸 두께 부족으로,
내부 금속이 비쳐 보이거나, 잇몸 퇴축으로 치아가 길어 보이는 문제가 빈번하게 발생합니다.

해당 수치는 인용된 논문의 특정 연구 조건에 따른 결과이며, 모든 환자에게 동일하게 적용되지 않습니다.
참고문헌
Agustín‑Panadero, R. et al. Int J Periodont Restor Dent. 2025.
Mazzotti, C. et al. Periodontol 2000. 2018. 77: 256–272.
Zucchelli, G. et al. J Periodontol. 2019. 90: 1116–1124.


개인에 따라 통증, 출혈 등 부작용이 발생할 수 있으며 치료 결과는 차이가 있을 수 있습니다. 본 사진은 보정 없는 실제 사례로, 동일 조건에서 촬영되었습니다.
Class Ⅰ
Class Ⅱ
Class Ⅲ
Class Ⅳ
Subclass A
Subclass B
Subclass C
참고문헌: Zucchelli, G. et al. J Periodontol. 2019. 90: 1116–1124.
Zucchelli, G. et al. Mucogingival Esthetic Surgery Around Implants. Milano, Italy: Quintessence Publishing; 2022.