앞니 재치료
앞니 심미 보철
웃을 때마다 신경 쓰이던 앞니,
이제 자연스럽게 회복할 수 있습니다.


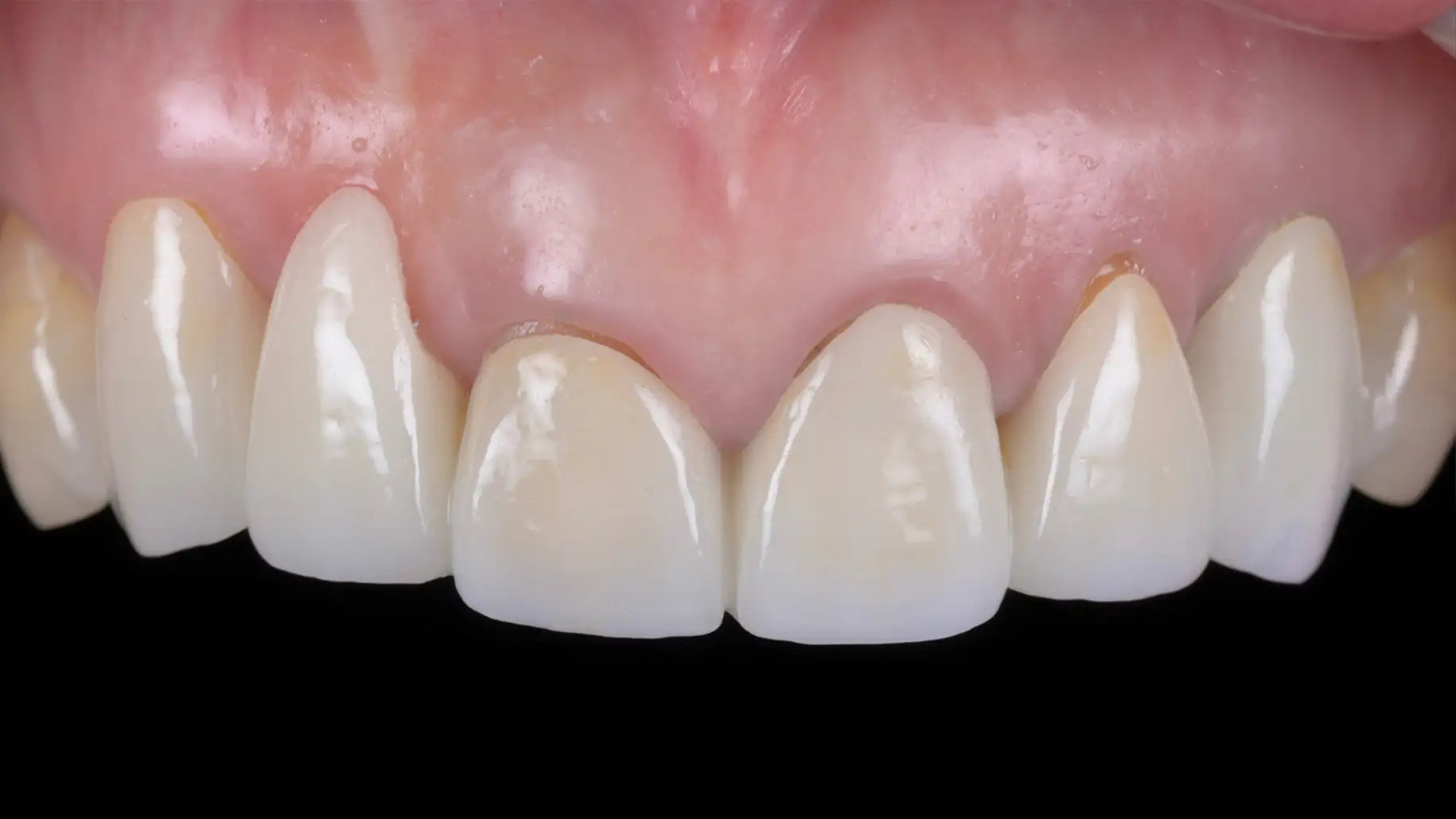
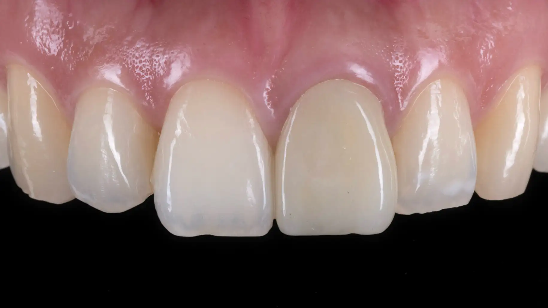
개인에 따라 통증, 출혈 등 부작용이 발생할 수 있으며 치료 결과는 차이가 있을 수 있습니다. 본 사진은 보정 없는 실제 사례로, 동일 조건에서 촬영되었습니다.
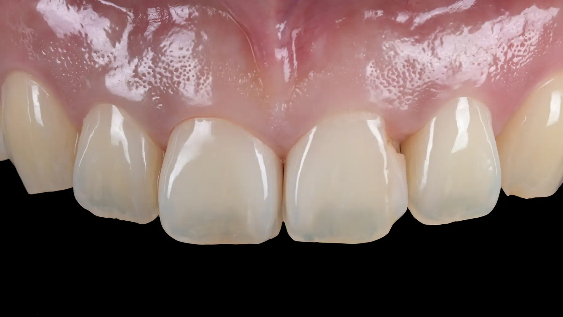
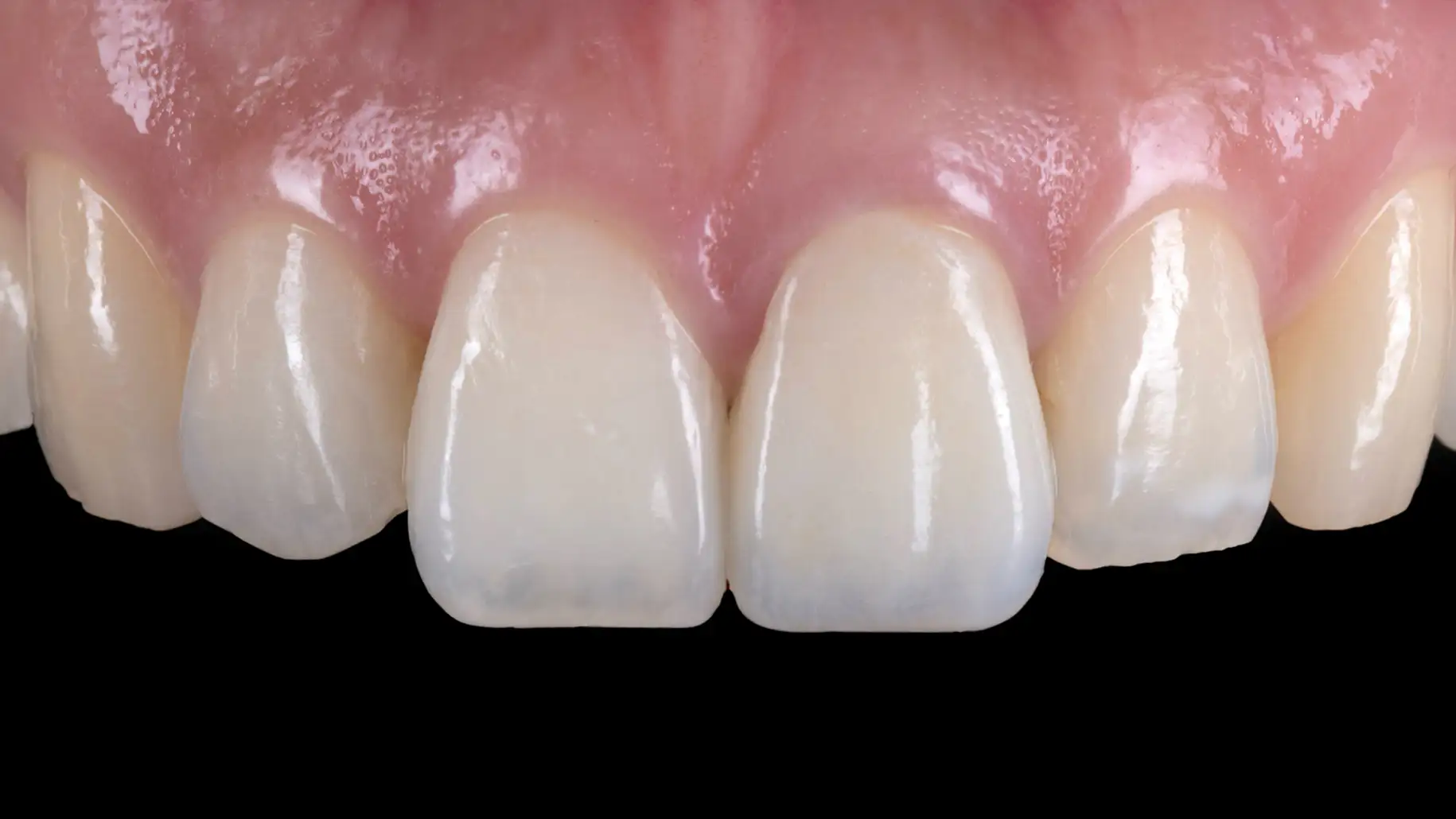
임시치아는 최종 보철물 장착 전 단계로, 사용 중 파손, 탈락, 치아 시림 등이 발생할 수 있습니다. 환자의 구강 상태에 따라 임시치아 제작 방식 및 결과는 차이가 있을 수 있습니다. (촬영일: 2024. 08. 07.)




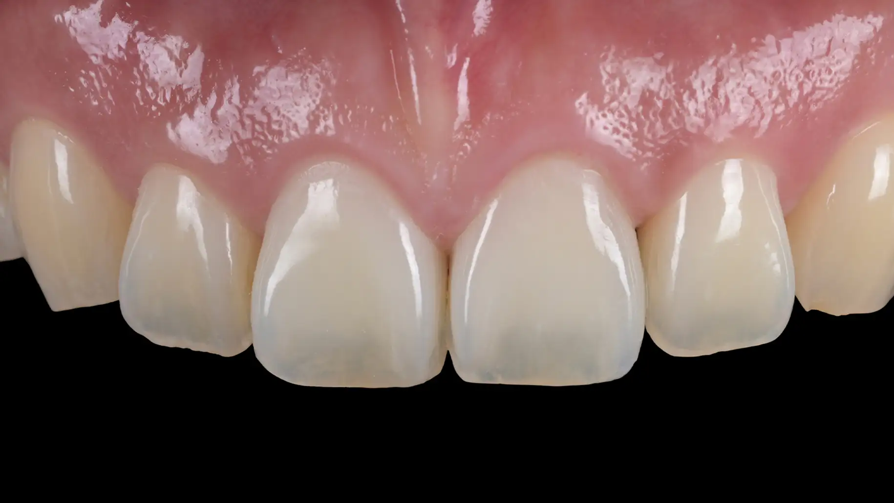
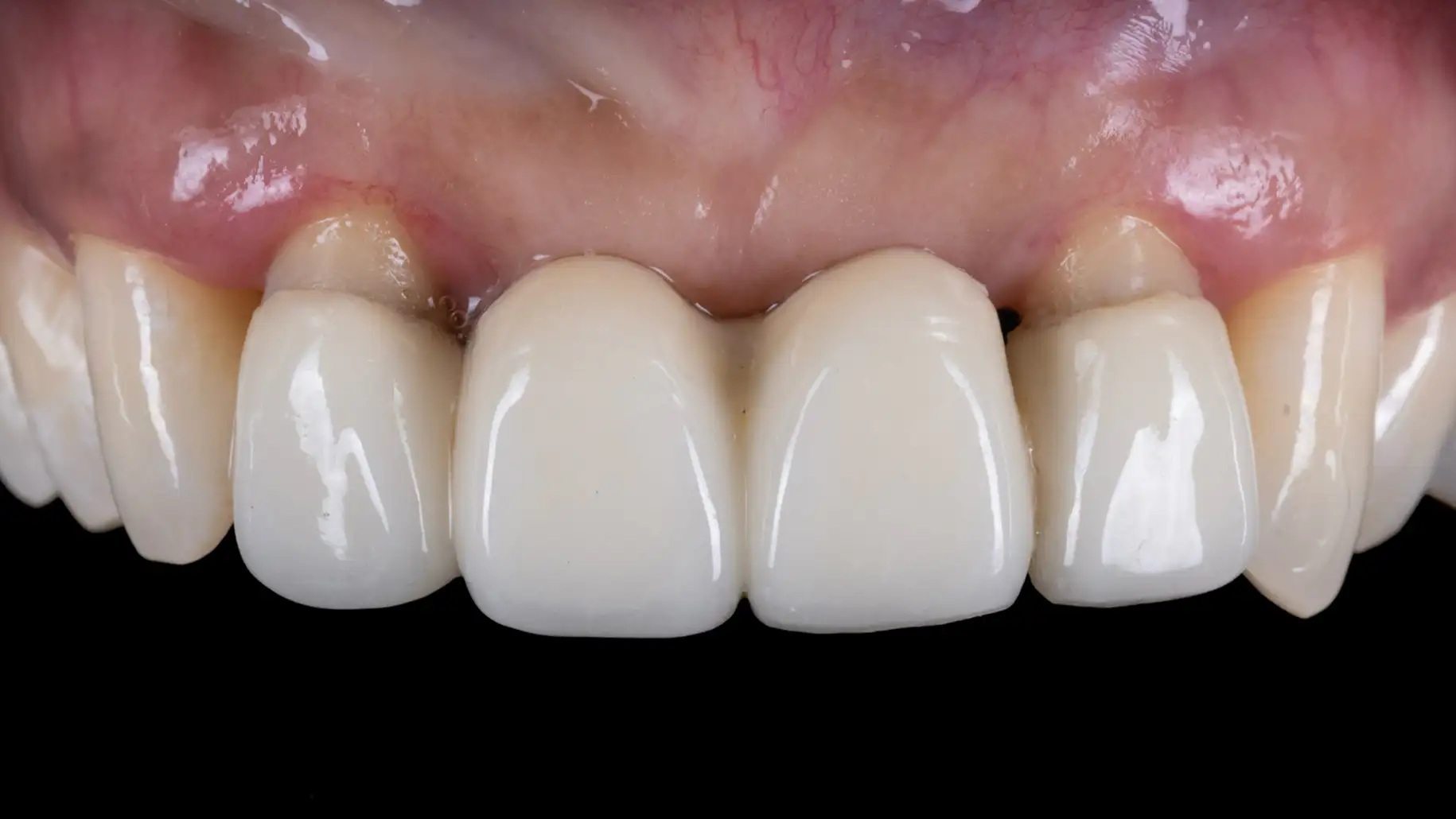
개인의 구강 상태에 따라 치료 결과는 차이가 있을 수 있으며, 보철물의 파절이나 탈락 등의 부작용이 발생할 수 있습니다. 본 사진은 보정 없는 실제 사례로, 동일 조건에서 촬영되었습니다.


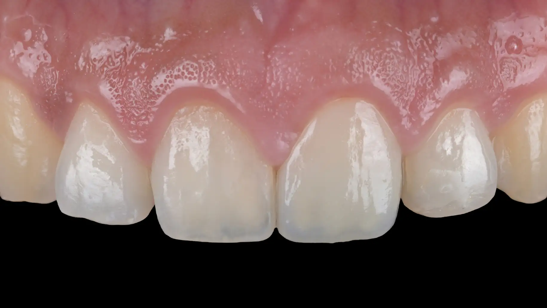
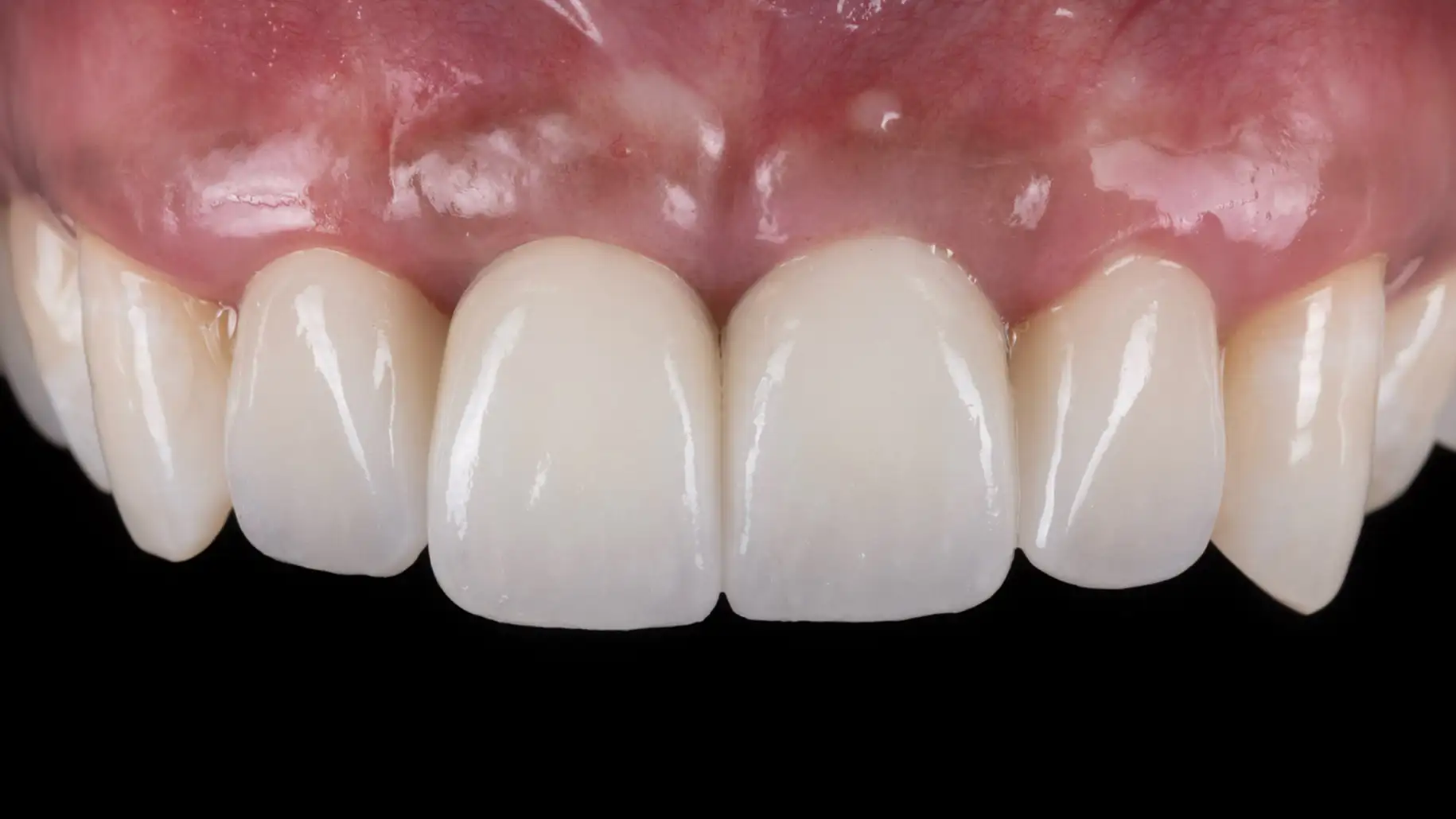
개인의 구강 상태에 따라 치료 결과는 차이가 있을 수 있으며, 보철물의 파절이나 탈락 등의 부작용이 발생할 수 있습니다. 본 사진은 보정 없는 실제 사례로, 동일 조건에서 촬영되었습니다.






개인에 따라 통증, 출혈 등 부작용이 발생할 수 있으며 치료 결과는 차이가 있을 수 있습니다. 본 사진은 보정 없는 실제 사례로, 동일 조건에서 촬영되었습니다.




개인에 따라 통증, 출혈 등 부작용이 발생할 수 있으며 치료 결과는 차이가 있을 수 있습니다. 본 사진은 보정 없는 실제 사례로, 동일 조건에서 촬영되었습니다.