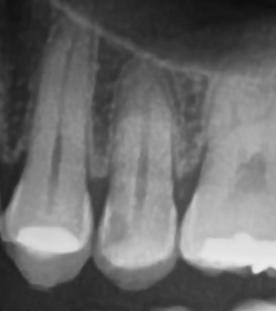
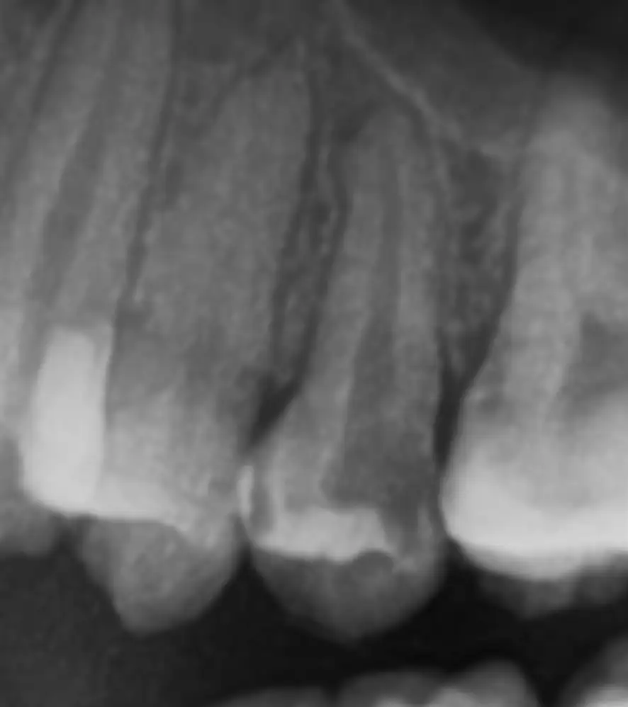
충치 치료
치아를 보존하는 것,
치과의사에게 주어진 무거운 의무입니다.








건강한 치질을 최대한 보존하고, 충치만 정밀하게 제거할 수 있는 가장 보존적인 치료 방법입니다. 당일 치료가 가능하며, 치아를 가능한 많이 남길 수 있는 방법입니다.
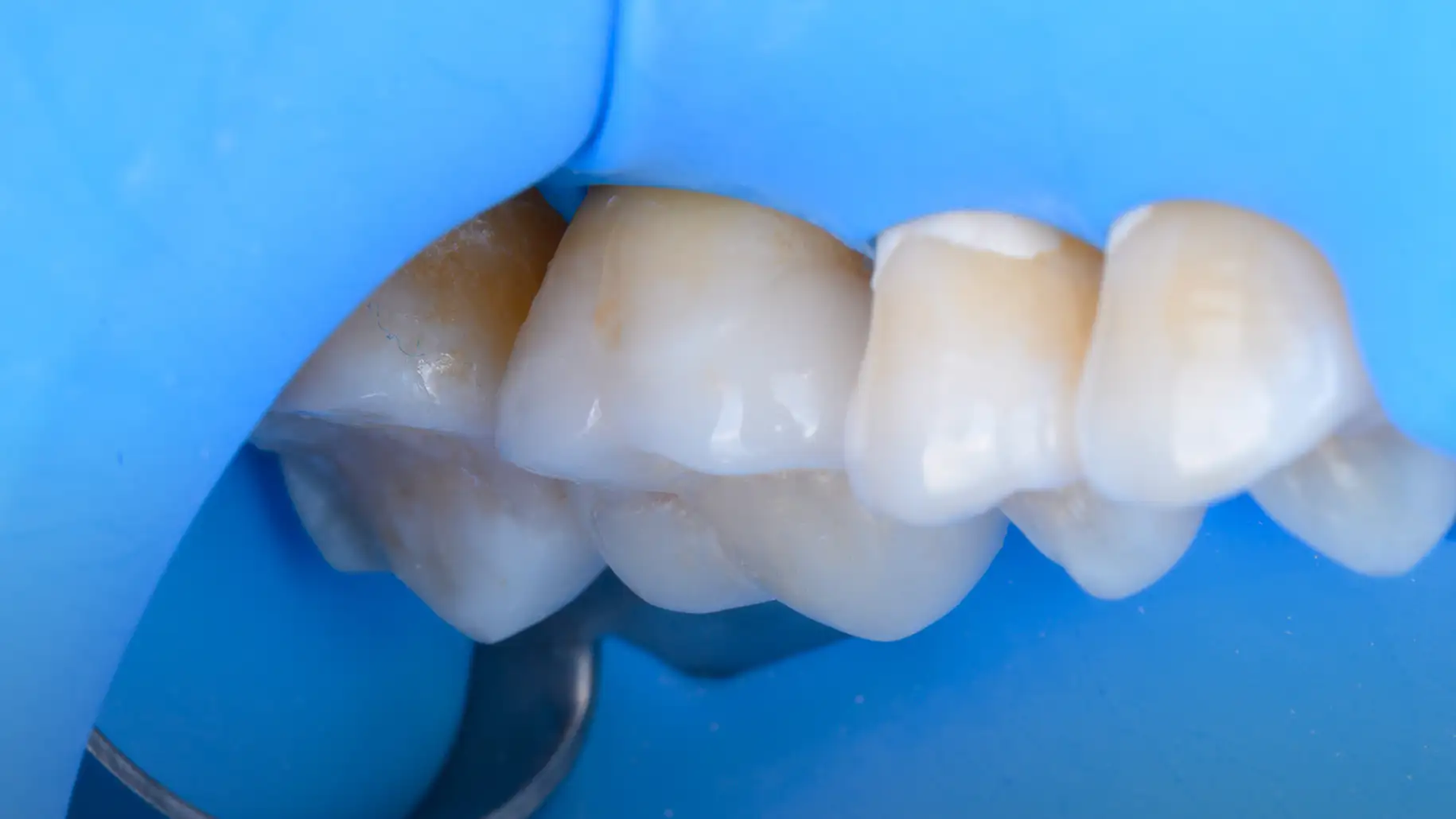
레진으로 치료하기에 범위가 넓은 경우, 보다 구조적인 안정성을 위해 사용할 수 있는 치료 방법입니다. 구강 외에서 정교하게 제작된 보철물을 접착하여, 구조적인 안정성과 저작 기능을 회복합니다.
힘을 많이 받는 치아의 뾰족한 부위(교두)가 손상되었거나, 균열(Crack)이 있어 파절 위험이 높은 경우 시행합니다. 크라운처럼 전체를 깎지 않고도 약해진 치아 윗부분을 보강하여, 치아가 쪼개지는 것을 예방하는 핵심적인 보존 술식입니다.
크라운에 비해 치아 삭제량을 극적으로 줄여주면서, 치아의 핵심 구조를 보존하는 고난도 보철 술식입니다. 치아의 수명을 연장하기 위한 생체 모방적(biomimetics) 접근법입니다.
치아 전체를 견고하게 감싸 더 이상의 파손을 막고, 광범위한 치아의 손상을 회복시킬 수 있는 치료 방법입니다.












본 사례들은 동일한 조건하에 촬영된 실제 임상 사진이며, 환자분의 동의를 얻어 게재되었습니다. 의료법 제56조 제1항에 따라, 치료 결과는 환자분의 구강 환경, 식습관 및 사후 관리 정도에 따라 차이가 있을 수 있습니다. 레진 수복 치료 후 일시적인 시린 증상이 나타날 수 있으며, 시간이 흐름에 따라 수복물의 변색이나 마모, 탈락이 발생할 수 있으므로 정기적인 검진을 권장합니다.
해부학적 형태의 정밀 복원

간접 수복은 구강 외에서 수작업으로 보철물을 제작합니다. 정교하게 치아의 해부학적인 형태를 복원하고, 교합 관계를 회복시킵니다.
오차를 최소화하는 정밀한 보철 과정

정밀하게 제작된 보철물은 경계부에서의 오차를 최소화하고, 내면의 적합을 최대화하는 방향으로 제작됩니다.
안정적인 치료 결과를 위한 화학적인 내면 처리

보철물이 치아와 하나로 결합하기 위해서는 보이지 않는 표면의 상태가 중요합니다. 세라믹 내면의 산 부식 처리(etching)와 실란(silane)의 처리 등 과학적인 표면 처리를 통해, 탈락과 파절을 방지하는 강력한 화학적 결합을 이끌어냅니다.


본 내용은 보철물의 제작 원리 및 정밀 적합의 중요성을 알리기 위해 작성되었습니다. 위 사진은 동일 조건에서 촬영된 실제 임상 사례이며, 환자분의 구강 환경 및 관리 정도에 따라 최종 보철물의 적합도와 치료 결과는 차이가 있을 수 있습니다.
보철물 주변의 위생 관리가 소홀할 경우 2차 충치나 잇몸 질환이 발생할 수 있으므로 정기적인 검진을 권장합니다.