잇몸 재생 치료
퇴축된 잇몸, 다시 회복될 수 있을까요?


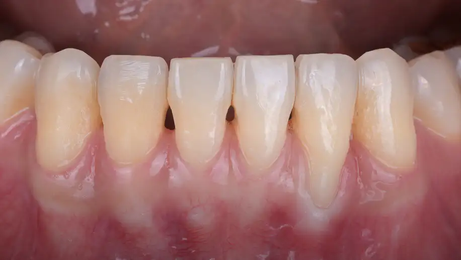
개인에 따라 통증, 출혈 등 부작용이 발생할 수 있으며 치료 결과는 차이가 있을 수 있습니다. 본 사진은 보정 없는 실제 사례로, 동일 조건에서 촬영되었습니다.


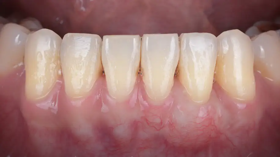
개인에 따라 통증, 출혈 등 부작용이 발생할 수 있으며 치료 결과는 차이가 있을 수 있습니다. 본 사진은 보정 없는 실제 사례로, 동일 조건에서 촬영되었습니다.


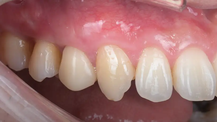
개인에 따라 통증, 출혈 등 부작용이 발생할 수 있으며 치료 결과는 차이가 있을 수 있습니다. 본 사진은 보정 없는 실제 사례로, 동일 조건에서 촬영되었습니다.


개인에 따라 통증, 출혈 등 부작용이 발생할 수 있으며 치료 결과는 차이가 있을 수 있습니다. 본 사진은 보정 없는 실제 사례로, 동일 조건에서 촬영되었습니다.
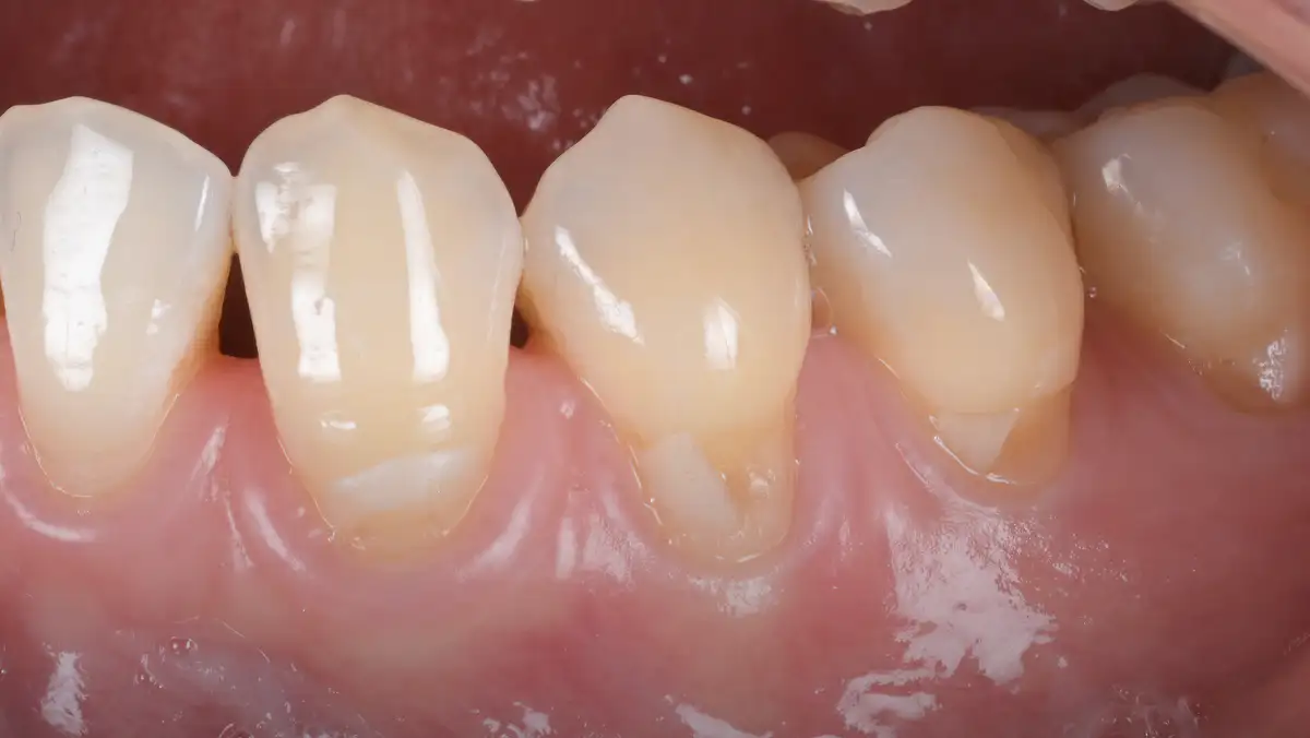
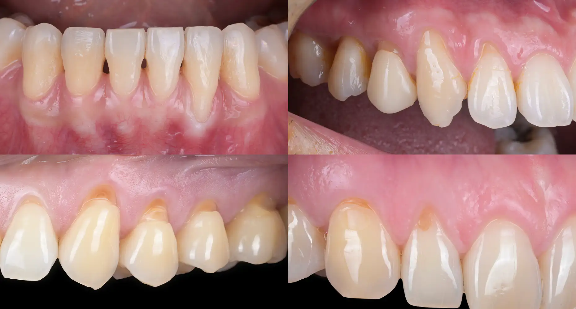
STEP 01 진단

치아 패임 및 잇몸 퇴축 확인
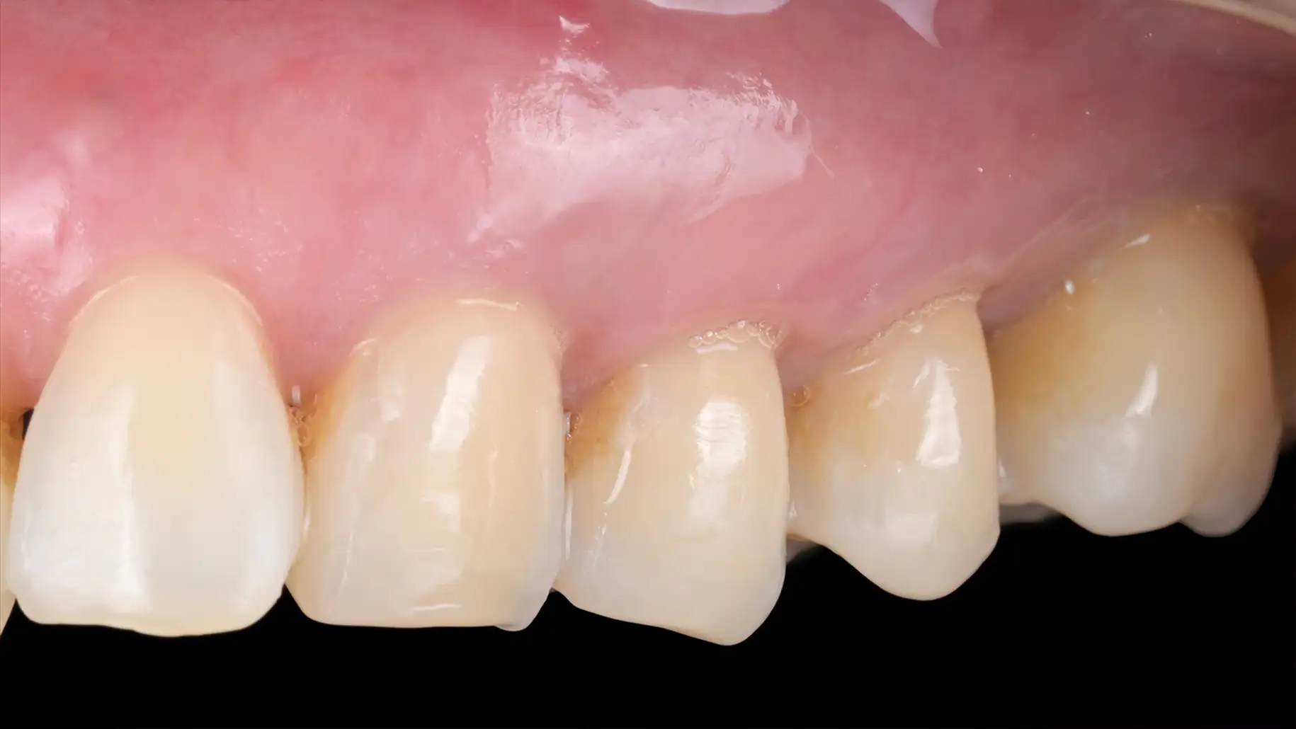
STEP 02 설계

퇴축된 잇몸을 덮고 있던 파절된 기존 레진 수복물을 제거하고,
회복시킬 잇몸 라인을 설계
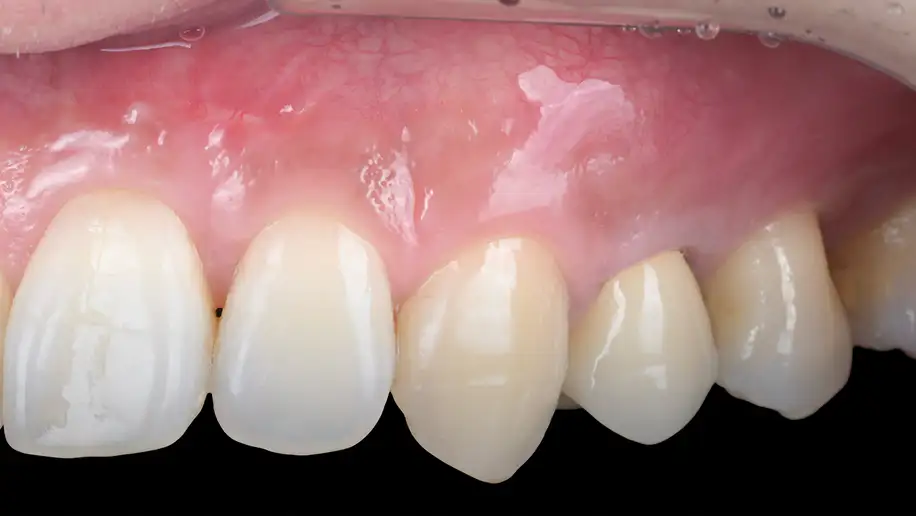
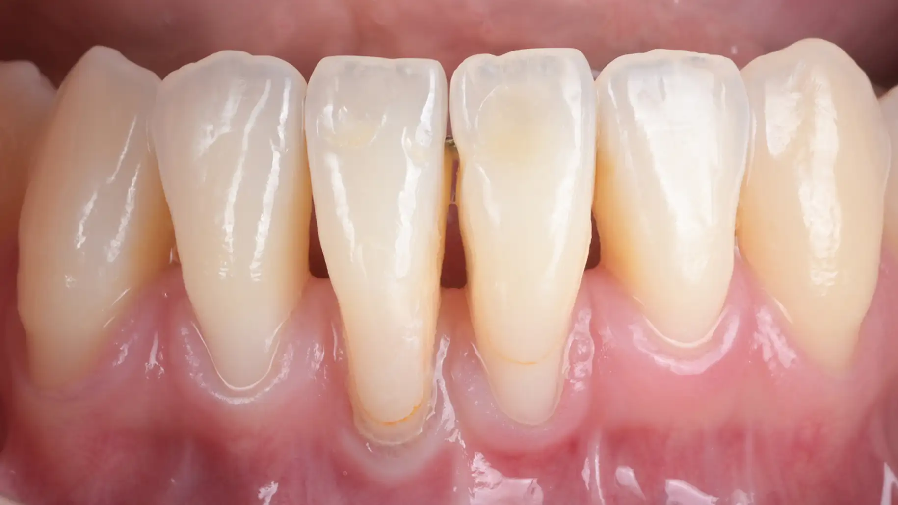
STEP 03 치료 결과

치아가 파인 부분은 레진으로 수복하고, 퇴축된 잇몸은 다시 회복
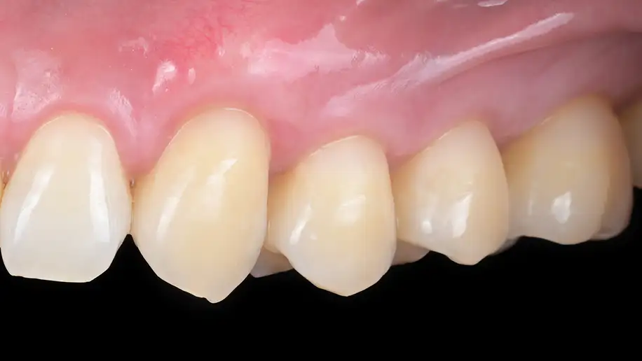
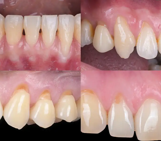
개인에 따라 통증, 출혈 등 부작용이 발생할 수 있으며 치료 결과는 차이가 있을 수 있습니다. 본 사진은 보정 없는 실제 사례로, 동일 조건에서 촬영되었습니다.




개인에 따라 통증, 출혈 등 부작용이 발생할 수 있으며 치료 결과는 차이가 있을 수 있습니다. 본 사진은 보정 없는 실제 사례로,
동일 조건에서 촬영되었습니다.




개인에 따라 통증, 출혈 등 부작용이 발생할 수 있으며 치료 결과는 차이가 있을 수 있습니다. 본 사진은 보정 없는 실제 사례로,
동일 조건에서 촬영되었습니다.



