Top

#앞니 치료

아이콘 레진, 치아 흰 반점 고민 해결 가이드

등록일2026. 03. 21
조회수252
아이콘 레진, 치아 흰 반점 고민 해결 가이드

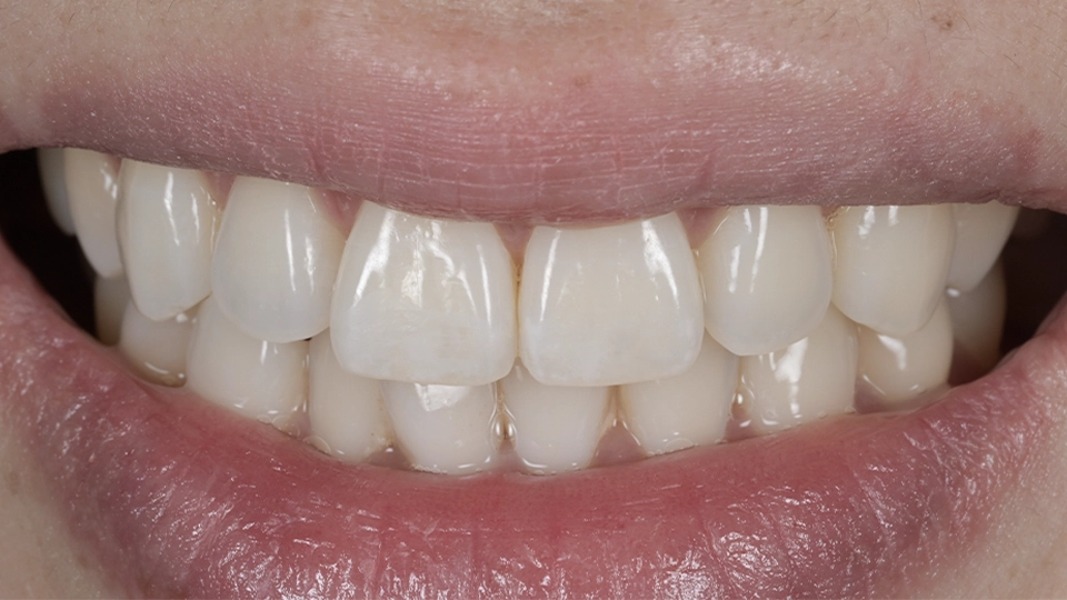
치아 표면에 나타나는 하얀 얼룩, 소위 '화이트 스팟(White Spot Lesions, WSL)'은 환자들에게 단순한 심미적 결점을 넘어 큰 스트레스 요인이 됩니다. 하지만 임상가의 시선에서 이 하얀 반점은 그 발생 기전이 매우 다양하며, 그에 따른 정밀한 감별 진단이 선행되어야 하는 복잡한 병소입니다. 과거에는 이런 반점을 해결하기 위해 치아 표면을 갈아내고 덮어씌우는 방식이 주를 이루었지만, 이제는 치아를 전혀 삭제하지 않고도 감쪽같이 해결할 수 있는 혁신적인 방법이 주목받고 있습니다. 바로 아이콘 레진(Icon Resin, DMG) 치료입니다. 이 글에서는 치아 흰 반점의 근본적인 원인부터, 치아를 삭제하지 않고 치료하는 아이콘 레진의 원리, 과정, 효과, 그리고 어떤 경우에 가장 적합한지까지, 여러분이 궁금해하는 모든 것을 전문적인 시각으로 명쾌하게 알려드립니다.

치아 흰 반점, 왜 생기고 왜 신경 쓰일까요?

환하게 웃을 때 드러나는 치아에 생긴 하얀 얼룩은 생각보다 많은 분들의 자신감을 떨어뜨리는 요인이 됩니다. 균일한 치아 색을 방해하여 미관상 좋지 않을 뿐만 아니라, '혹시 충치가 아닐까?' 하는 불안감을 주기도 합니다. 그렇다면 이러한 치아 흰 반점은 도대체 왜 생기는 것일까요? 원인은 생각보다 다양하며, 크게 네 가지로 나누어 볼 수 있습니다.

주요 원인과 발생 과정

  • 초기 충치 (치아우식증): 가장 흔한 원인입니다. 입안의 세균이 음식물 찌꺼기를 분해하며 산(acid)을 만들어내고, 이 산이 치아 표면의 법랑질(enamel)을 구성하는 칼슘과 인 같은 무기질을 녹여내는 '탈회(demineralization)' 과정을 겪게 됩니다. 이 탈회 단계가 바로 초기 충치이며, 이 시기에는 치아 표면이 푸석푸석해지면서 빛이 난반사되어 우리 눈에 흰색 반점처럼 보이게 됩니다. 여기서 더 진행되면 구멍이 뚫리는 충치로 발전하게 됩니다.
  • 치아 교정 후 탈회: 교정 장치(브라켓) 주변은 칫솔질이 어려워 음식물과 플라그가 끼기 쉽습니다. 장기간 장치를 부착하는 동안 이 부위의 관리가 소홀해지면 세균이 번식하기 좋은 환경이 조성되어 탈회 현상이 집중적으로 발생할 수 있습니다. 교정 종료 후 장치를 제거했을 때 브라켓 모양대로 흰 반점이 남는 경우가 바로 이것입니다.
  • 치아 불소증 (Fluorosis): 치아가 발육하는 시기(주로 만 8세 이전)에 기준치 이상의 불소를 섭취했을 때 나타날 수 있습니다. 불소는 충치 예방에 효과적이지만, 과도할 경우 법랑질의 형성을 방해하여 치아 표면에 흰색 또는 갈색의 반점이나 줄무늬를 유발합니다.
  • 법랑질 형성부전증 (Enamel Hypoplasia): 유전적 요인이나 영유아 시기의 영양 결핍, 질병 등으로 인해 치아의 가장 바깥층인 법랑질이 정상적으로 형성되지 않은 상태입니다. 이 경우 치아 표면이 약하고 거칠며, 흰색 또는 노란색의 반점이 나타날 수 있습니다.

이처럼 치아 흰 반점은 단순히 보기 싫은 문제를 넘어, 치아 건강의 이상 신호일 수 있습니다. 특히 초기 충치로 인한 반점은 방치할 경우 더 심각한 문제로 이어질 수 있으므로, 정확한 원인 진단과 적절한 치료가 매우 중요합니다.

💡핵심 포인트

치아 흰 반점 핵심 원인 요약

  • 초기 충치: 세균이 생성한 산에 의해 치아 표면의 법랑질이 부식(탈회)되어 발생합니다.
  • 교정 치료: 교정 장치 주변의 구강 위생 관리가 어려워 탈회가 일어나기 쉽습니다.
  • 불소증: 치아 형성기에 과도한 불소 섭취로 인해 법랑질에 반점이 생깁니다.
  • 선천적 요인: 법랑질 형성부전증 등 유전적, 발육상 문제로 발생할 수 있습니다.

아이콘 레진이란? 치료 원리와 특징 알아보기

치아 흰 반점을 해결하기 위해 과거에는 레진으로 덮거나 라미네이트처럼 치아 표면을 삭제하는 치료가 일반적이었습니다. 하지만 이는 건강한 치질을 손상시켜야 한다는 부담이 있었습니다. 아이콘 레진(Icon Resin Infiltration)은 이러한 패러다임을 바꾼 혁신적인 치료법으로, '치아 삭제 없이, 마취 없이' 흰 반점을 개선하는 비침습적 시술입니다.



아이콘 레진의 과학적 원리

아이콘 레진의 핵심 원리는 '레진 침투(Resin Infiltration)' 기술에 있습니다. 초기 충치나 탈회로 인해 생긴 치아 흰 반점은 법랑질 내부에 미세한 기공(pore)이 생긴 다공성 구조를 가집니다. 건강한 법랑질과 이 다공성 부위는 빛의 굴절률이 달라 우리 눈에 흰색으로 보이게 됩니다.

아이콘 레진 치료는 이 원리를 역이용합니다.

  1. 먼저 특수 처리제로 치아 표면의 가장 단단한 층을 미세하게 열어줍니다.
  2. 그 후, 아주 묽고 흐름성이 좋은 액상 레진(Resin Infiltrant)을 흰 반점 부위에 도포합니다.
  3. 이 액상 레진은 모세관 현상에 의해 법랑질 내부의 미세한 기공 속으로 스며들어갑니다.
  4. 레진이 기공을 가득 채운 뒤, 특수 광선을 쬐어 단단하게 굳힙니다.

이렇게 레진이 침투하여 굳으면, 다공성 구조가 메워지면서 빛의 굴절률이 주변의 건강한 법랑질과 거의 유사하게 회복됩니다. 그 결과, 빛의 난반사가 사라지고 치아 흰 반점이 시각적으로 감쪽같이 사라지는 효과를 얻게 되는 것입니다. 이는 마치 구멍이 숭숭 뚫린 스펀지에 투명한 액체를 채워 넣어 매끈하게 보이게 하는 것과 같은 원리입니다.

구분 아이콘 레진 레진/라미네이트
치료 원리 저점도 레진을 침투시켜 빛 굴절률 회복 치아 표면을 삭제하고 인공 재료로 덮음
치아 삭제 없음 (비삭제, 비침습) 필요함 (최소 삭제 또는 그 이상)
마취 필요 없음 필요한 경우가 많음
치료 기간 1회 방문으로 완료 (치아당 약 30분) 1~2회 이상 방문 필요
적용 대상 초기 충치, 교정 후 탈회 등 비함몰성 반점 함몰된 충치, 심미 개선 등

이처럼 아이콘 레진은 건강한 치아 조직을 최대한 보존하면서 심미적인 문제를 해결할 수 있다는 점에서 매우 큰 장점을 가집니다. 특히 통증이나 치아 삭제에 대한 두려움이 큰 환자들에게 이상적인 대안이 될 수 있습니다.

아이콘 레진 시술 과정, 얼마나 아플까?

"치과 치료는 무조건 아프다"는 고정관념 때문에 아이콘 레진 시술을 망설이는 분들이 많습니다. 결론부터 말씀드리면, 아이콘 레진은 마취 주사가 필요 없을 정도로 통증이 없는 편안한 시술입니다. 시술 과정은 환자분이 느끼시기에 힘들지 않게 진행되고, 보통 한두 개의 치아를 기준으로 30분에서 내외로 완료됩니다.

단계별 시술 과정

  1. 구강 검진 및 상담: 먼저 흰 반점의 원인과 깊이를 정확히 진단합니다. 아이콘 레진 치료가 적합한 케이스인지 판단하는 중요한 단계입니다.
  2. 치면 세척: 시술 부위를 깨끗하게 세척하고 소독하여 레진이 잘 침투할 수 있는 환경을 만듭니다.
  3. 치아 격리: 시술할 치아 주변에 격리 장치를 사용하여 침이나 수분이 닿지 않도록 격리하고 건조한 상태를 유지합니다.
  4. 표면 처리 (Etching): 산성 겔(gel)을 사용하여 치아 법랑질의 가장 바깥층을 부식시켜 레진이 침투할 통로를 열어줍니다.
  5. 건조 (Drying): 에탄올 성분의 특수 건조제를 도포하여 병소 내부의 수분을 완벽하게 제거합니다. 수분이 남아있으면 레진 침투를 방해하기 때문에 매우 중요한 과정입니다.
  6. 레진 침투 (Infiltration): 아이콘(Icon-Infiltrant)이라 불리는 저점도 액상 레진을 흰 반점 부위에 천천히 도포합니다. 레진이 미세한 기공 속으로 충분히 스며들도록 기다립니다.
  7. 광중합 (Light Curing): 특수한 파장의 광중합기 빛을 쬐어 침투된 레진을 단단하게 굳힙니다.
  8. 마무리 및 폴리싱: 필요한 경우 레진 침투와 광중합 과정을 한 번 더 반복할 수 있습니다. 모든 과정이 끝나면 치아 표면을 매끄럽게 다듬고 광택을 내어 시술을 마무리합니다.

시술 직후 바로 일상생활이 가능하며, 식사에도 제약이 없습니다.

치료 효과 및 유지 관리법은?

아이콘 레진 치료를 고려할 때 가장 궁금한 것은 단연 '효과가 얼마나 좋을까?' 그리고 '얼마나 오래갈까?'일 것입니다. 또한 모든 의료 시술과 마찬가지로 발생 가능한 부작용과 올바른 유지 관리법에 대해 아는 것도 중요합니다.

치료 효과와 지속 기간

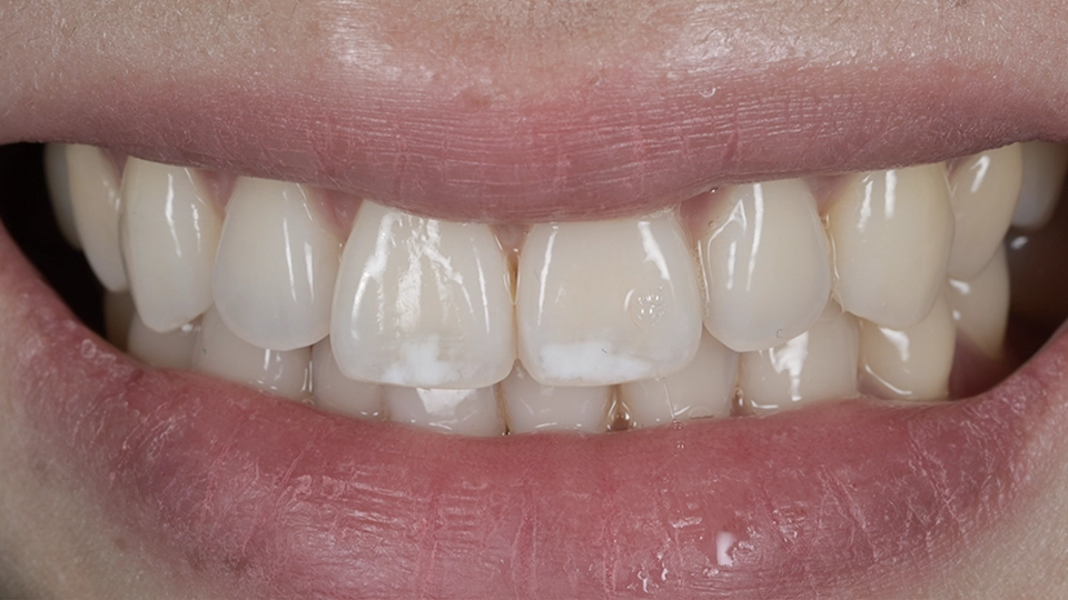
아이콘 레진의 가장 큰 장점은 시술 즉시 눈에 띄는 심미적 개선 효과를 확인할 수 있다는 점입니다. 흰 반점이 주변 치아 색과 자연스럽게 어우러지면서 거의 보이지 않게 됩니다. 치료 효과의 지속 기간은 환자의 구강 관리 습관이나 식습관에 따라 달라질 수 있지만, 일반적으로 수년간 안정적으로 유지되는 것으로 보고됩니다.

실제로, 공신력 있는 SCIE급 국제 학술지인 'Journal of Dentistry'에 게재된 한 연구 논문에 따르면, 교정 치료 후 발생한 흰 반점 병소에 아이콘 레진을 적용한 결과, 대부분의 케이스에서 2년 이상 안정적인 색상 개선 효과가 유지되었으며 환자의 심미적 만족도 또한 매우 높게 나타났습니다. 이는 아이콘 레진이 단기적인 미용 시술이 아니라, 안정적인 치료법임을 시사하는 중요한 근거입니다. 물론 시간이 지나면서 미세한 변색이 발생할 수 있지만, 이는 간단한 폴리싱(polishing)으로 개선되거나 필요한 경우 재시술도 가능합니다. 결론적으로, 아이콘 레진은 올바른 구강 위생 습관과 정기적인 검진이 동반된다면 반영구적인 효과를 기대할 수 있는 효과적이고 안전한 치료법입니다.

치아 흰 반점, 아이콘 레진이 필요한 경우는?

아이콘 레진은 매우 훌륭한 치료법이지만, 모든 종류의 치아 흰 반점에 적용할 수 있는 만능 해결책은 아닙니다. 치료 효과를 극대화하기 위해서는 아이콘 레진이 가장 적합한 '적응증'에 해당하는지 정확하게 진단하는 것이 무엇보다 중요합니다. 따라서 시술 전 반드시 치과 의사와의 충분한 상담을 통해 본인의 상태를 확인해야 합니다.

아이콘 레진 치료에 가장 적합한 경우

  • 교정 치료 후 발생한 흰 반점: 아이콘 레진의 가장 대표적인 적응증입니다. 교정 장치 주변에 발생한 표층의 탈회성 반점에 적용했을 때 매우 드라마틱한 효과를 볼 수 있습니다.
  • 구멍이 생기지 않은 초기 충치: 법랑질 표면에 구멍(cavity)이 형성되지 않고 흰 반점 형태로만 나타나는 초기 충치의 진행을 막고, 동시에 심미적으로 개선하는 데 매우 효과적입니다. 이는 '치료'와 '예방'의 두 가지 목적을 동시에 달성하는 것입니다.
  • 경미한 수준의 치아 불소증: 반점의 깊이가 깊지 않고 표면에 국한된 일부 경미한 불소증의 경우, 아이콘 레진을 통해 상당한 개선 효과를 기대할 수 있습니다.
  • 외상 후 발생한 일부 백색 반점: 치아에 가벼운 충격이 가해진 후 발생한 표면의 백색 반점에도 적용하여 좋은 결과를 얻을 수 있습니다.

아이콘 레진 치료가 어려운 경우

  • 이미 구멍이 생긴 충치: 법랑질이 파괴되어 함몰된(cavitated) 충치는 레진으로 수복하는 치료가 필요하며, 아이콘 레진의 적용 대상이 아닙니다.
  • 반점의 깊이가 너무 깊은 경우: 흰 반점이 법랑질을 넘어 상아질까지 깊게 위치한 경우, 레진이 충분히 침투하지 못해 효과가 떨어질 수 있습니다.
  • 선천적인 법랑질 형성부전증이 심한 경우: 치아 구조 자체의 문제로 인한 광범위하고 깊은 변색은 아이콘 레진만으로는 개선에 한계가 있을 수 있으며, 라미네이트나 크라운 치료가 더 적합할 수 있습니다.
  • 신경 손상 등으로 인한 치아 내부 변색: 치아 내부의 신경이 죽거나 약물 등으로 인해 치아 전체가 어둡게 변색된 경우에는 아이콘 레진으로 색상을 개선할 수 없습니다. 이 경우 실활치 미백 등의 다른 치료가 필요합니다.

결국, 아이콘 레진 치료의 성공 여부는 정확한 진단에 달려있습니다. 치아 삭제에 대한 부담 없이 흰 반점 고민을 해결하고 싶다면, 먼저 경험이 풍부한 치과 의사를 찾아 자신의 치아 상태가 아이콘 레진에 적합한지 정밀하게 진단받는 것이 아름답고 건강한 미소를 되찾는 첫걸음이 될 것입니다.

💡핵심 포인트

아이콘 레진, 이런 분께 추천해요!

  • 교정 치료 후 치아에 흰 얼룩이 생긴 분
  • 충치 초기 단계 진단을 받고 비삭제 치료를 원하는 분
  • 치아 삭제나 마취 없이 심미 개선을 원하는 분
  • 경미한 불소증이나 외상 후 흰 반점으로 고민하는 분

자주 묻는 질문 (FAQ)

Q. 아이콘 레진 치료 효과는 영구적인가요?

A. 아이콘 레진의 효과는 영구적이라고 단정하기는 어렵지만, 수년간 매우 안정적으로 유지됩니다. 환자의 식습관이나 구강 관리 능력에 따라 지속 기간은 달라질 수 있습니다. 색소가 많은 음식을 즐기거나 구강 위생이 불량할 경우 변색이 다소 빨리 올 수 있으며, 정기적인 치과 검진과 스케일링을 통해 효과를 더 오래 유지할 수 있습니다.

Q. 아이콘 레진 치료는 정말 하나도 아프지 않은가요?

A. 네, 대부분의 경우 통증이 거의 없습니다. 치아를 삭제하는 드릴을 사용하지 않고, 마취 주사도 필요 없는 비침습적 시술이기 때문입니다. 시술 과정 중 약품 처리 시 아주 약간의 시큰함을 느낄 수는 있지만, '통증'으로 느끼는 경우는 드물어 편안하게 시술받으실 수 있습니다.

Q. 모든 치아 흰 반점에 아이콘 레진 치료가 가능한가요?

A. 아니요, 모든 경우에 가능한 것은 아닙니다. 아이콘 레진은 표면에 구멍이 뚫리지 않은 초기 충치나 교정 후 탈회, 경미한 불소증 등에 가장 효과적입니다. 반점의 깊이가 너무 깊거나, 이미 충치로 구멍이 생긴 경우, 선천적으로 법랑질 형성 이상이 심한 경우에는 적용이 어려울 수 있어 정확한 진단이 필수적입니다.

Q. 아이콘 레진 치료도 건강보험 적용이 되나요?

A. 아니요, 아이콘 레진은 충치 치료 목적보다는 심미 개선 목적의 시술로 분류되어 건강보험이 적용되지 않는 비급여 진료 항목입니다. 따라서 치료 비용은 전액 본인 부담입니다.
관련 포스트